Monday - Saturday : 10AM to 8PM   Sunday - By Appointment
Call us now +91-7414921187
Dental Services

Dental Services

Dental Implants

What Are Dental Implants?

Dental implants are artificial roots and teeth (typically titanium) that are surgically placed into the upper or lower jawbone by a dentist. The “teeth” or crowns attached to implants are natural-looking and effectively enhance or restore your smile. In addition to replacing missing teeth, implants can also provide a fixed solution to removable partial or complete dentures. Implants provide excellent support and stability for these dental appliances and will last for years to come.

Benefits of Dental Implants

Dental implants are an excellent solution to:

  1. Restore a confident smile.
  2. Improve chewing, speech, and digestion.
  3. Resolve bite.
  4. Problems caused by teeth shifting into a missing tooth space.
  5. Restore or enhance facial tissues.
  6. Support a bridge or denture, making them more secure and comfortable.

If you are considering dental implants and want to know if they are right for you, the team at DR. JINDAL'S DENTAL CLINIC would be happy to walk you through the process and details of dental implants. You will receive care instructions when your treatment is completed. Good oral hygiene, eating habits, and regular dental visits will aid in extending the life of your new implant.

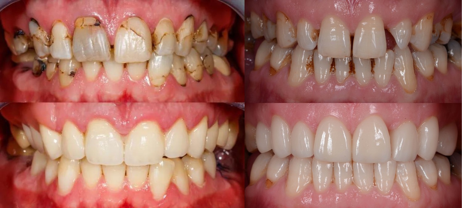
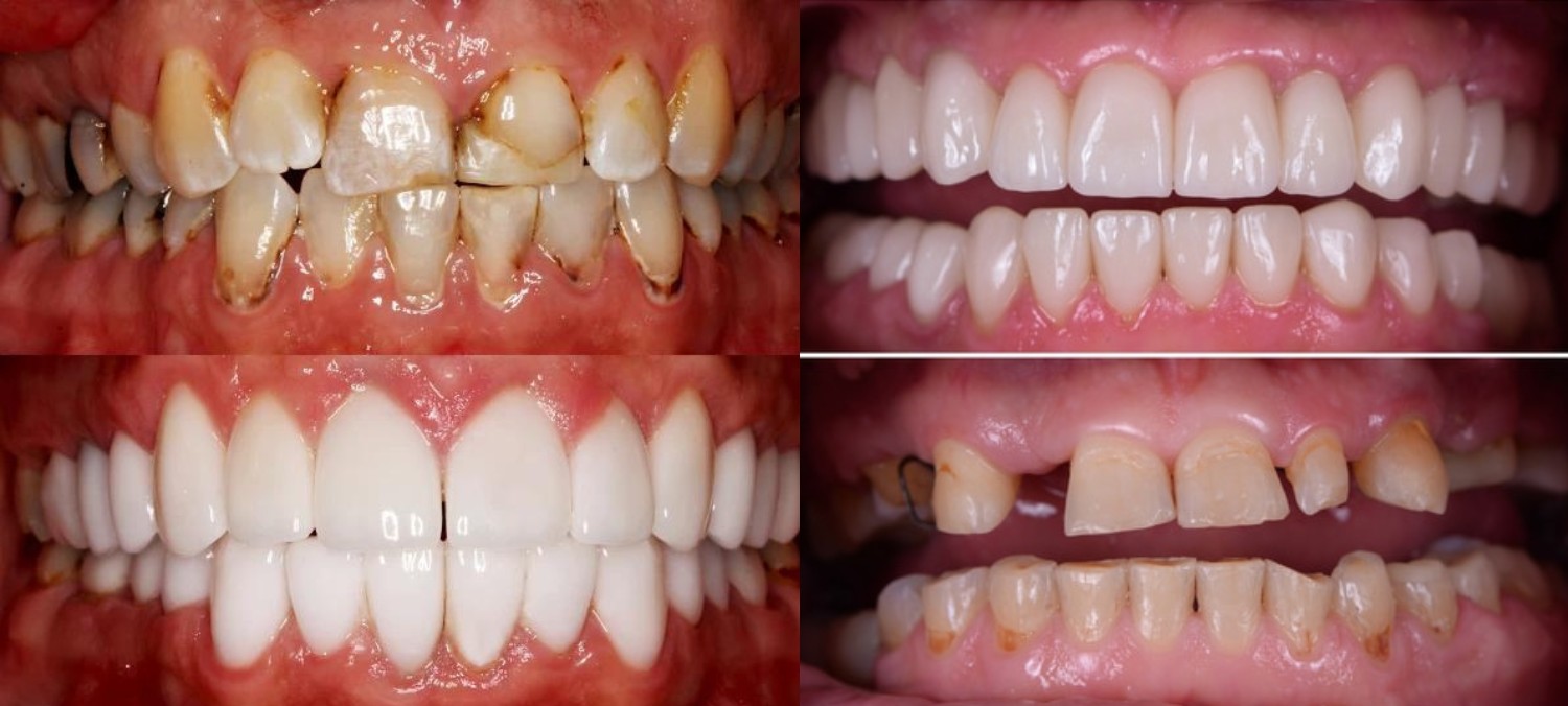
Smile Makeover

What is a smile makeover?

A dental smile makeover refers to a comprehensive treatment plan aimed at enhancing the appearance of the smile through various cosmetic and restorative dental procedures. The goal is to achieve a more aesthetically pleasing smile that harmonizes with the patient's facial features and meets their individual preferences.

Here are key aspects and benefits of a dental smile makeover:

  1. Comprehensive Assessment
  2. A smile makeover begins with a thorough evaluation of the patient's oral health, including the teeth, gums, bite alignment, and overall facial structure. This assessment helps the dentist understand the patient's concerns and goals for their smile.

  3. Personalized Treatment Plan
  4. Based on the assessment, a customized treatment plan is developed. This plan may include one or more cosmetic and restorative procedures tailored to address specific dental issues such as tooth discoloration, chips or cracks, misalignment, gaps between teeth, or disproportionate tooth size.

  5. Cosmetic Procedures
  6. Common cosmetic treatments in a smile makeover include: TEETH WHITENING: To brighten discolored or stained teeth. PORCELAIN VENEERS: Thin shells bonded to the front of teeth to improve color, shape, size, or alignment. DENTAL BONDING: Using tooth-colored resin to repair chips, cracks, or gaps. GUM CONTOURING: Reshaping the gum line to improve the appearance of the teeth.

    RESTORATIVE PROCEDURES: Sometimes, smile makeovers involve restorative treatments to ensure both function and aesthetics:

    1. Dental Crowns: To cover and protect damaged or weakened teeth.
    2. Dental Implants: To replace missing teeth and restore a natural-looking smile.
    3. Dental Bridges: To fill gaps left by missing teeth and improve dental function.
    4. Orthodontics: In cases of misalignment or bite issues, orthodontic treatments such as braces or clear aligners may be included in the smile makeover plan to straighten teeth and improve overall facial symmetry.
  7. Digital Smile Design (DSD)
  8. Advanced technologies like DSD may be used to visualize and plan the desired outcomes of the smile makeover, allowing patients to preview potential results before starting treatment.

    Benefits of Smile Makeover

    1. Enhance your smile.
    2. Brighten dull, stained teeth.
    3. Improve the shape of your teeth.
    4. Conceal chips and cracks.
    5. Bring balance and symmetry to your smile.
    6. Boost your confidence.

At DR. JINDAL'S DENTAL CLINIC we'll provide personalized approach to improving the aesthetics of the smile while addressing dental concerns. It combines artistry and dental expertise to create natural-looking, beautiful smiles that positively impact both appearance and well-being.

Teeth Whitening

What is Teeth Whitening?

In-office whitening provides the quickest way to whiten teeth. With in-office whitening, the whitening product is applied directly to the teeth. These contain a stronger version of whiteners than over-the-counter products and they work faster. These products can be used in combination with a special light, and/or a laser.

Results are seen in a single, 30 to 60 minute treatment. However, to achieve dramatic results, more than one appointment might be needed.

Benefits of Teeth Whitening

Teeth whitening procedures are considered as a cosmetic procedure since yellowed or stained teeth are not considered to be an oral health issue. However, white teeth can boost your self-confidence and improve the appearance of your smile.

As trained dental professionals, DR. JINDAL'S DENTAL CLINIC dentists implement industry - approved techniques to gently and safely whiten your teeth.

Venners

What Are Veneers?

Veneers are an ideal choice to improve your smile. Veneers are virtually undetectable and are resistant to staining. Simple and versatile, veneers can dramatically improve your smile.

Veneers are made from thin pieces of porcelain crafted to the shape of the tooth. They are bonded onto the front of teeth to create a beautiful and attractive smile. Veneers can be an alternative to crowns and are the ideal solution in treating many dental conditions.

Benefits of Dental Veneers

Typically considered a non-invasive cosmetic dental procedure, there are many benefits of custom veneers. A significant advantage is that not only will they match the color and texture of your natural teeth but they also feel natural. Additionally, veneers can:

  1. Help align crooked or misaligned teeth
  2. Enhance the appearance and improve the surface of your teeth
  3. Close gaps and unwanted spaces between teeth
  4. Reshape and repair teeth that have been chipped or damaged
  5. Enhance your smile
  6. Whiten discolored or stained tooth enamel to create a uniform beautiful smile
  7. Correct teeth that are too small or large

You will receive care instructions after the veneer procedure is complete at DR. JINDAL'S DENTAL CLINIC. Proper brushing, flossing, and regular dental visits will aid in extending the life of your new veneers.

Dental Fillings

What Are Dental Fillings?

This type of dental restoration procedure is used to repair tooth damage from decay, cavities, fractures, and chipping. Mostly white composite resin (tooth-colored material) that is often offered in a variety of shades of white to match the natural color of your teeth. Regardless of where you need a filling, your tooth will look as natural as it did prior to the damage using composite material.

Reasons for Dental Fillings:

  1. Chipped teeth
  2. Closing space between two teeth
  3. Cracked or broken teeth
  4. To restore decayed teeth

Good oral hygiene practices, eating habits, and regular dental visits will aid in enhancing the life of your new fillings. Our dentists at DR. JINDAL'S DENTAL CLINIC are experts at matching the natural tooth color of the filling to your existing tooth structure. It allows you to preserve your beautiful, natural smile!

Root Canal Treatment

What is Root Canal Treatment (RCT)?

Root canal therapy involves the removal of the infected or inflamed pulp from within your tooth, followed by careful cleaning, disinfecting, and shaping of the root canals and then sealing them with a biocompatible material. This treatment alleviates pain and can save your tooth from extraction, preserving your natural smile.

When facing severe tooth pain, immediate and expert care is crucial. At DR. JINDAL'S DENTAL CLINIC we specialize in alleviating discomfort and preserving your natural smile with professional endodontic care.

Crowns & Bridges

What Are Crowns?

A crown (or cap) is a protective restoration that covers the entire surface of a tooth and restores it to its original size and shape. When a tooth cannot be restored with a filling, a crown is used to protect and strengthen the tooth structure. A crown can also be a solution for decayed teeth, large fillings, and fillings that have fractured. Crowns are often used on teeth that have had a root canal.

What Are Bridges?

A dental bridge is a non-removable appliance used to replace missing teeth. While there are several types of bridges, the traditional bridge is usually made of ceramic fused to metal. These are very popular because they resemble your natural teeth. This all-ceramic bridge is made up of two crowns that go over two anchoring or abutment teeth, filling the gap created by one or more missing teeth. Dental bridges will last many years as they are highly durable.

Benefits of Crowns & Bridges

  1. Restoration of damaged teeth
  2. Improved aesthetics
  3. Strengthened weak teeth
  4. Long-lasting durability
  5. Bridge prevent remaining teeth from drifting out of position

To ensure the longevity of your permanent crown & bridge, be sure to brush and floss every day.

Partial & Complete Dentures

What Are Dentures?

Dentures are a removable dental appliance that helps replace missing teeth and surrounding tissue. It is made to closely resemble your natural teeth and may even enhance your smile.

There are two types of dentures – complete dentures and partial dentures. Complete dentures are used when all of the teeth are missing, while partial dentures are used when some natural teeth remain. A partial denture not only fills in the spaces created by missing teeth; it prevents other teeth from shifting.

Benefits of Dentures

  1. Enhancing your smile and overall appearance.
  2. Improves chewing, speech, and digestion.
  3. Restore your mouth to full functionality and improve your quality of life.

Having the right denture fit is extremely important not only for your confidence, but also for eating and proper speech. At DR. JINDAL'S DENTAL CLINIC we will ensure the quality of your dentures so you can feel confident when you smile.

Implant Supported Dentures

What are implant-supported dentures?

An implant-supported denture is an oral appliance that replaces several teeth at once. It’s similar to a traditional denture. But instead of resting on top of your gums, an implant-supported denture attaches directly to your jawbone using dental implants. Implant-supported dentures offer improved stability for chewing, eating and speaking.

Types of implant - supported denture:

  1. Removable implant-supported dentures
  2. This type of denture “snaps on” to dental implants in your jawbone. It stays securely in place until you’re ready to remove it. With this option, you can take your dentures out every day for easy cleaning.

  3. Fixed implant-supported dentures
  4. A fixed denture — sometimes called a hybrid denture — attaches permanently to dental implants in your jawbone. You can’t remove it at home, but your dentist can remove it for maintenance when necessary.

Benefits of Implant-Supported Dentures

  1. Don’t slip like traditional dentures can.
  2. Help prevent bone loss in your jaw. (This is because the implants mimic your natural teeth roots and stimulate the nerves in your jaw.)
  3. Look like natural teeth.
  4. Restore oral health, function and appearance.
  5. Last much longer than traditional dentures.

Our expert dental team at DR. JINDAL'S DENTAL CLINIC provides an implant-supported dentures which have a significant improvement in comfort, function, and aesthetics compared to traditional dentures, making them a preferred option for many patients seeking reliable tooth replacement solutions.

Full Mouth Rehabilitation

What is Full Mouth Rehabilitation?

Full mouth rehabilitation, also known as full mouth reconstruction or full mouth restoration, is a comprehensive treatment plan that involves restoring or replacing the teeth in both the upper and lower jaws.

This extensive dental procedure is typically recommended for patients who have multiple dental problems affecting most or all of their teeth, gums, and jaw structure. It aims to restore function, aesthetics, and overall oral health.

The process of full mouth rehabilitation involves a thorough assessment and planning.

Based on the assessment, a personalized treatment plan is developed to address the specific needs and goals of the patient.

Depending on the individual case, full mouth rehabilitation may include a combination of the following dental treatments and procedures:

  1. Restorative Dentistry: This involves repairing or replacing damaged or decayed teeth with procedures such as fillings, crowns, bridges, or dental implants.
  2. Periodontal Treatments: Gum disease (periodontal disease) may need to be treated to restore gum health and ensure a stable foundation for the teeth.
  3. Endodontic Treatments: Root canal therapy may be necessary to treat infections or inflammation within the tooth roots.
  4. Orthodontic Treatments: Braces or clear aligners may be used to correct misaligned teeth or bite issues (malocclusion).
  5. Prosthodontics: This branch of dentistry focuses on the design, manufacture, and fitting of artificial replacements for teeth and other oral structures. It includes procedures such as crowns, bridges, dentures, and implant-supported restorations.
  6. Temporomandibular Joint (TMJ) Therapy: If there are issues with the jaw joints causing pain or dysfunction, treatments such as splints or physical therapy may be recommended.

Benefits of Full Mouth Rehabilitation

  1. Restore oral health.
  2. Improve chewing function.
  3. Eliminate dental pain.
  4. Reduce the risk of dental issues in the future.
  5. Improve the appearance of your smile.

Patients undergoing full mouth rehabilitation at DR. JINDAL'S DENTAL CLINIC can expect significant improvements in oral function, comfort, and self-confidence once the treatment is completed.

Scaling and Root Planing

What is Scaling & Root Planing?

Tooth scaling removes tartar from the surface of your teeth that you see when you smile. Root planing removes tartar from the roots of your teeth below your gum line.

Scaling & Root Planing are deep-cleaning procedures which chip off tartar that hardens to the surfaces of your teeth and roots. The treatments help protect your smile and prevent the loss of teeth, gums and bone.

At DR. JINDAL'S DENTAL CLINIC we will perform your routine teeth cleaning by removing built up plaque and tartar, flossing, and polishing your teeth. Regular cleaning is important to prevent gum diseases, cavities, bad breath, and other dental problems. Cleaning should be regular and must be scheduled at least twice a year.

Gum Treatment

What is Gum disease?

Gum disease occurs when plaque and tartar build up on your teeth surfaces. Your gums react to the bacteria in these irritants and become red, swollen and tender. Your gums may also bleed when you brush or floss.

The sooner you treat gum disease, the better chance you have for long-lasting oral health. At its earliest stage (gingivitis), gum disease is reversible. But the later stages (periodontitis) damage your gums and underlying bone. This results in gaps — or periodontal pockets — around your teeth, leading to further infection, loose teeth and even tooth loss.

Gum disease treatment may be nonsurgical or surgical, depending on the stage of disease and your oral and overall health. Nonsurgical treatments include scaling and root planing and antibiotics. Surgical options include pocket reduction surgery and guided tissue regeneration.

Benefits of Gum Treatment

  1. Eliminate disease-causing bacteria in your mouth.
  2. Stop bone loss in your jaw.
  3. Get rid of bad breath (halitosis).
  4. Have healthier gums that aren’t red, swollen or tender.

Periodontal treatment methods depend upon the type and severity of the disease. We at DR. JINDAL'S DENTAL CLINIC will evaluate for periodontal disease and recommend the appropriate gum disease treatment.

Tooth Extraction

What is a Tooth Extraction?

A tooth extraction is a dental procedure during which your tooth is completely removed from its socket. A tooth extraction may be necessary for many reasons, including severe damage or decay. One of the most common dental procedures, a tooth extraction can eliminate bacteria and improve your overall oral health.

Wisdom Tooth Extraction

While not everyone will need their wisdom teeth removed, it is a common procedure. However, the earlier that a need for extracting wisdom teeth is detected, the less impact it will have on surrounding teeth, bone and gum tissue, and nerves and blood vessels.

This is a general list of common reasons your wisdom teeth may need to be extracted:

  1. Impacted wisdom teeth (stuck under the gums).
  2. Wisdom teeth crowd surrounding teeth and change bite alignment.
  3. Wisdom teeth that come in at an angle and put pressure on surrounding teeth.
  4. Gum disease and cavities in the wisdom teeth

Because of the location of the wisdom teeth, brushing and flossing can be difficult and ultimately decrease oral hygiene and increase the chance of cavities and gum disease (periodontal disease).

Benefits of Tooth Extraction

Tooth extraction offers a number of benefits. Most importantly, it reduces harmful bacteria that can damage your teeth and gums. Left untreated, a decayed or damaged tooth can wreak havoc on your smile, causing a domino effect of problems. Removing your affected tooth gives you the best chance for optimal oral health. Additionally, a tooth extraction can help ease dental pain almost immediately — especially if your tooth was severely broken or infected.

Pediatric Dentistry

Pediatric dentistry is a comprehensive dental care that focuses on prevention, early detection, and treatment of dental diseases in children.

Our pediatric dental services ensure that your child has the best dental and oral care experience possible. Some of our pediatric dentistry services include:

  1. Oral health
  2. Cleanings
  3. Fluoride treatments
  4. Dental sealants
  5. Digital x-rays
  6. Tooth-colored fillings
  7. Anticipatory guidance
  8. Nutrition and diet counseling
  9. Crowns
  10. Orthodontics
  11. Emergency care including tooth pain relief and trauma management

Our goal at DR. JINDAL'S DENTAL CLINIC is to provide a positive experience through comprehensive dental care for infants, children, and adolescents in a friendly and safe environment with a focus on prevention and education.

Braces

What are braces?

Dental braces straighten your teeth and correct a wide range of orthodontic issues, such as:

  1. Crooked teeth.
  2. Crowded teeth.
  3. Gapped teeth.
  4. Malocclusion (issues with the way your teeth fit together).

Braces use mild, constant pressure to shift your teeth into their proper positions over time. The exact way this happens depends on the type of braces you choose.

Types of Braces

  1. Metal braces
  2. When you think of braces, traditional metal braces might be what you imagine. Metal braces use stainless steel bands, brackets and wires to gently shift your teeth over time.

  3. Ceramic braces
  4. Ceramic braces — sometimes called clear braces — work the same way as metal braces. The key difference is that the brackets, wires and ligatu…

Emergency Dental Care

Dental problems can be painful, especially when you have a dental emergency or the pain comes on suddenly and acutely. Toothaches can start small and worsen quickly. Accidents can happen at any time. We often face dental emergencies at times when finding an open dental office is challenging, like after business hours, late at night or over the weekend. Finding an emergency dentist does not have to be difficult.

Whatever your dental emergency, our experienced team of dentists at DR. JINDAL'S DENTAL CLINIC can help with treatments and resolutions, often with a same day appointment.